上顎前突(出っ歯)のワイヤーによる矯正治療例
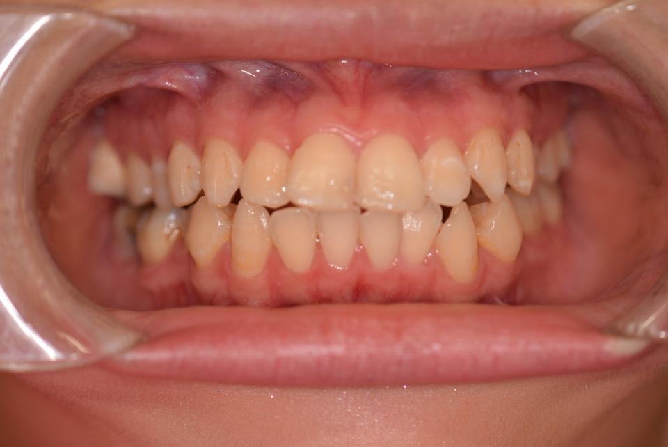
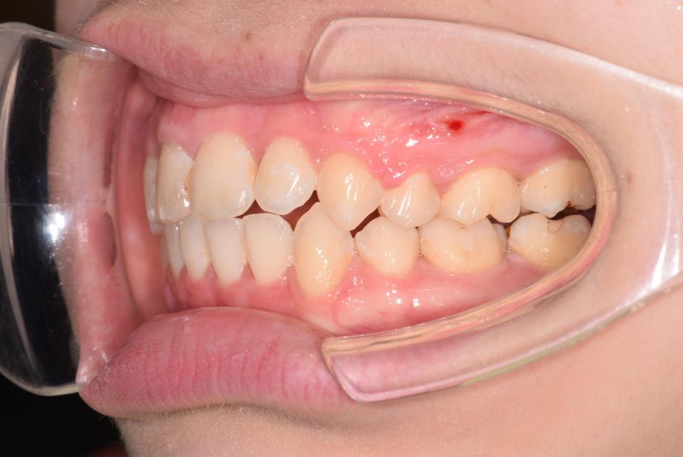
矯正治療前




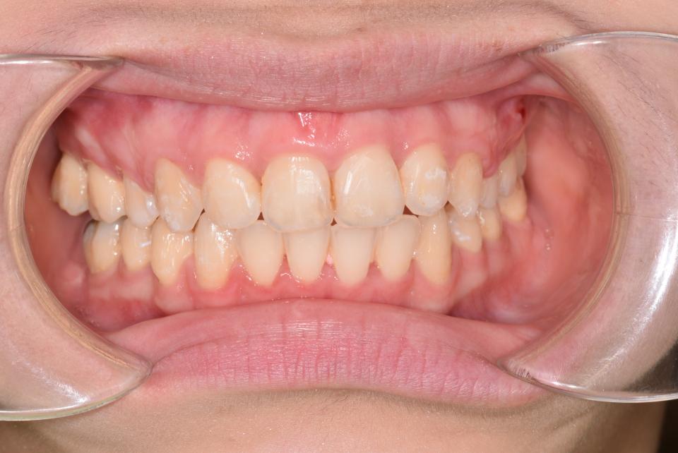
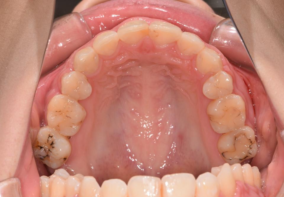
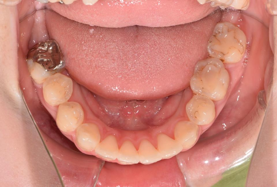
矯正治療後




20代女性の患者さんです。
前歯がでていると気にされて来院しました。
上左右4番と左下4番を抜歯して、ワイヤーを付け前歯をきれいに並べ直しました。
| 年齢・性別 | 20代女性 |
|---|---|
| 矯正治療期間 | 1年3か月 |
| 抜歯の有無 |
上左右4番左下4番 |
| 治療費 | 865,000円(検査料、装置料、施術料) |
| リスク・注意点 |
歯の移動に伴い痛みを感じる場合がある 治療後保定装置を使わないと後戻りを生じる |
| 備考 |
(200405)








20代女性の患者さんです。
前歯がでていると気にされて来院しました。
上左右4番と左下4番を抜歯して、ワイヤーを付け前歯をきれいに並べ直しました。
| 年齢・性別 | 20代女性 |
|---|---|
| 矯正治療期間 | 1年3か月 |
| 抜歯の有無 |
上左右4番左下4番 |
| 治療費 | 865,000円(検査料、装置料、施術料) |
| リスク・注意点 |
歯の移動に伴い痛みを感じる場合がある 治療後保定装置を使わないと後戻りを生じる |
| 備考 |
(200405)