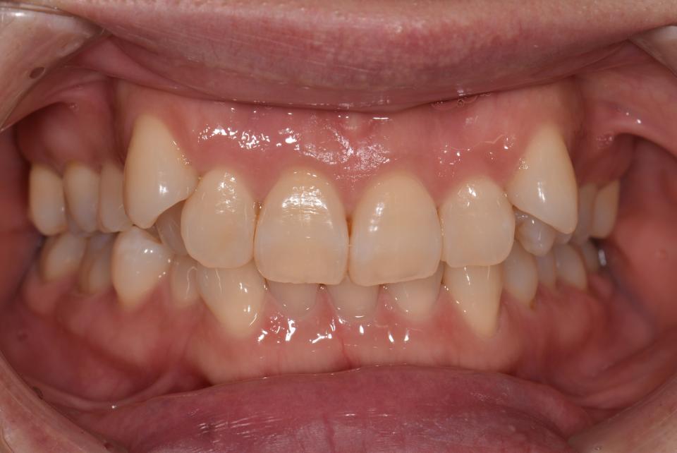
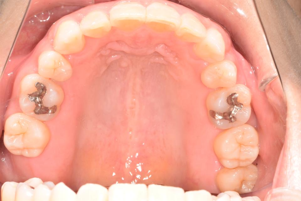
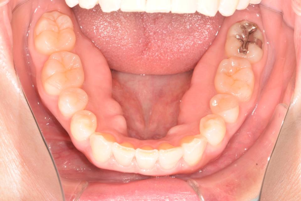
八重歯のマウスピース型矯正治療例(抜歯あり)
矯正治療前



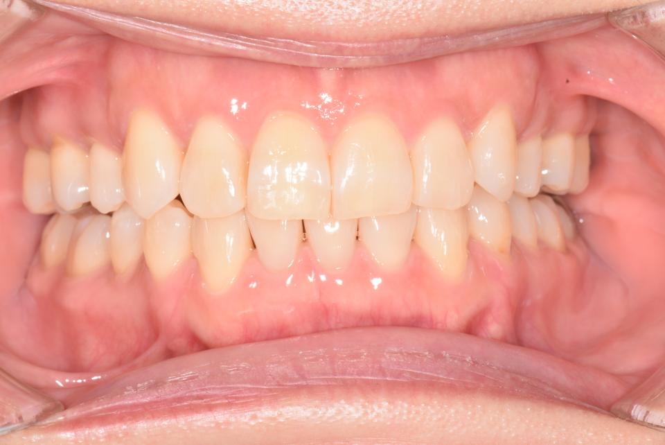
矯正治療後



40代女性の患者さんです。
八重歯が気になり矯正治療を始めました。
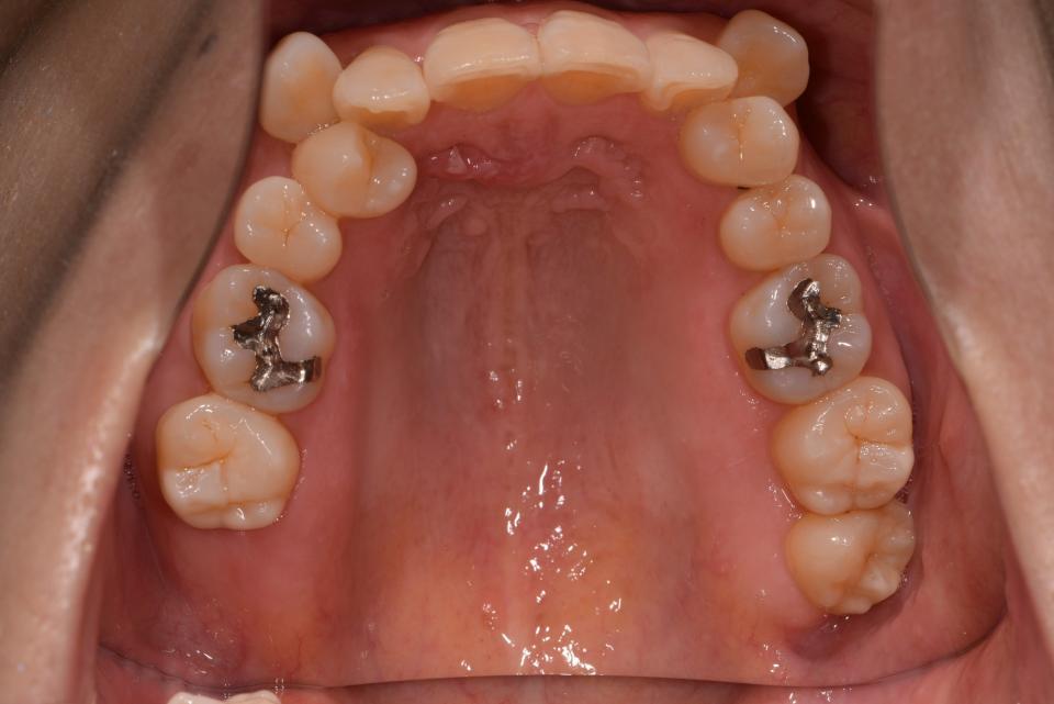
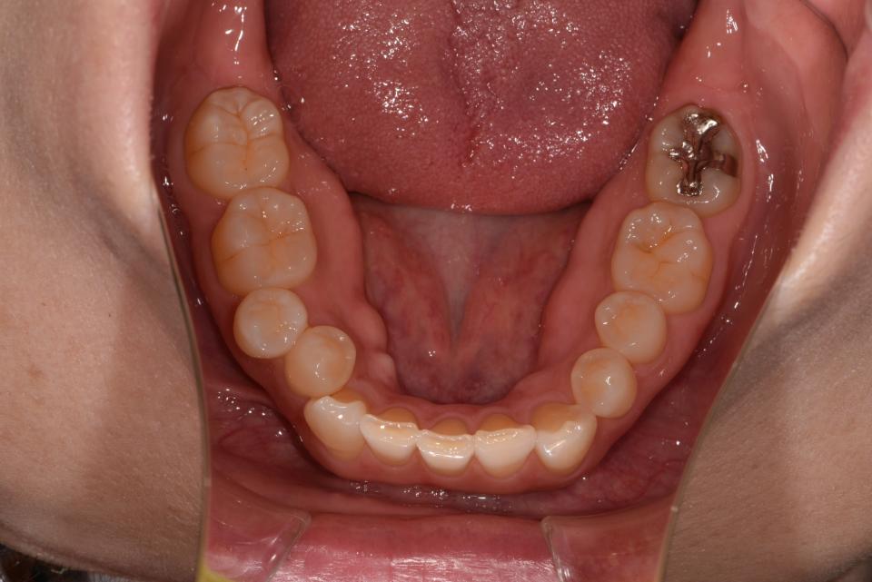
上の左右4番目の抜歯をして、マウスピース型の矯正治療装置を使用し、歯のやすり掛け(IPR)を行いました。
現在はマウスピース型のリテーナーでで後戻りの防止をして定期的にチェックをしています。
| 年齢・性別 | 40代女性 |
|---|---|
| 矯正治療期間 | 1年10か月 |
| 抜歯の有無 | 上左右4番抜歯 |
| 治療費 |
880000円(検査料、装置料、施術料) |
| リスク・注意点 |
歯の移動に伴い痛みを感じる場合がある 治療後保定装置を使わないと後戻りを生じる |
| 備考 |
(200487)


