下顎前突の矯正治療症例
矯正治療前



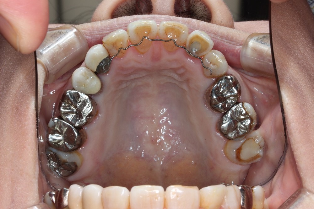
矯正治療後



40代女性の患者さんです。
歯が反対にかみ合っていると気にされ来院しました。
目立たない装置を希望されたので
通常の金属のワイヤーではなく目立ちにくいホワイトワイヤーで治療をしました。
分析の結果歯は抜かず
歯のやすり掛けを行うことにより歯を細くし
歯並びの横幅の拡大と歯の傾きを治すことで
上の歯が見える歯並びに改善しました。
| 年齢・性別 | 40代女性 |
|---|---|
| 矯正治療期間 | 3年6か月 |
| 抜歯の有無 | 無 |
| 治療費 | 1,232,000円(税込)(検査料、装置料、調整料含む) |
| リスク・注意点 |
歯の移動に伴い痛みを感じる場合がある 治療後保定装置を使わないと後戻りを生じる |
| 備考 | ホワイトワイヤー使用 |


